欢迎您来到迈新免疫组化世界!
电话:800-8581156
info@maxim.com.cn
在线客服
English
高级搜索
导航栏
网站首页
产品中心
单克隆抗体和多克隆抗体
CFDA免疫组化检测试剂盒
免疫组化检测系统和试剂盒
免疫组化配套试剂
全自动免疫组化染色仪
分子病理学产品
服务支持
免疫组化与病理
免疫组化技术交流
公共实验室
新开展IHC推荐清单及介绍
咨询反馈
新闻资讯
迈新动态
行业资讯
热点聚焦
会议通告
资料荟萃
产品目录
迈新园地
指南手册
抗体图库
人力资源
招聘信息
人才储备
应聘指南
福利薪酬
走进迈新
迈新简介
迈新历程
迈新荣誉
企业文化
迈新•病理基金
联系我们
产品中心
单克隆抗体和多克隆抗体
CFDA免疫组化检测试剂盒
免疫组化检测系统和试剂盒
免疫组化配套试剂
全自动免疫组化染色仪
分子病理学产品
产品搜索
高级搜索
抗体
A
A
B
C
D
E
F
G
H
I
J
K
L
M
N
O
P
Q
R
S
T
U
V
W
X
Y
Z
当前位置:
首页
>
产品中心
> 单克隆抗体和多克隆抗体
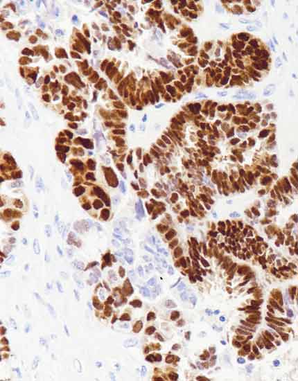
产品名称:RRM1
产品编号:RMA-0818
阳性部位:细胞质
图片描述:
肺腺癌,RRM1染色,细胞质阳性。
产品名称:PSA
产品编号:MAB-0719
阳性部位:细胞质
图片描述:
前列腺,PSA染色,细胞质阳性。
产品名称:Podoplanin
产品编号:MAB-0714
阳性部位:细胞质/细胞膜
图片描述:
间皮瘤,Podoplanin染色,细胞质/细胞膜阳性
产品名称:PMS2
产品编号:RMA-0775
阳性部位:胞核
图片描述:
结直肠癌,PMS2染色,细胞核阳性,肿瘤细胞表达缺失
产品名称:Pax-8
产品编号:RMA-1024
阳性部位:细胞核
图片描述:
输卵管,Pax-8染色,细胞核阳性
产品名称:Pax-2
产品编号:RMA-0816
阳性部位:细胞核
图片描述:
卵巢浆液性癌,Pax-2染色,细胞核阳性
产品名称:p27
Kip1
产品编号:MAB-0793
阳性部位:细胞核/细胞质
图片描述:
乳腺癌,p27
Kip1
染色,细胞核/细胞质阳性
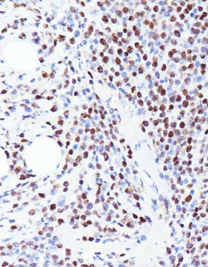
产品名称:Oct-2
产品编号:MAB-0792
阳性部位:细胞核
图片描述:
弥漫大B细胞淋巴瘤,Oct-2染色,细胞核阳性
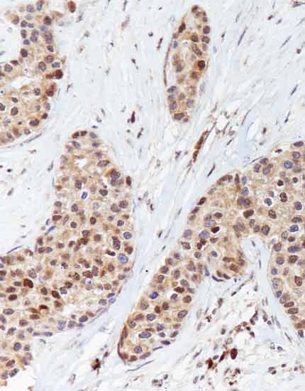
产品名称:NKX3.1
产品编号:RMA-0753
阳性部位:细胞核
图片描述:
前列腺癌,NKX3.1染色,细胞核阳性
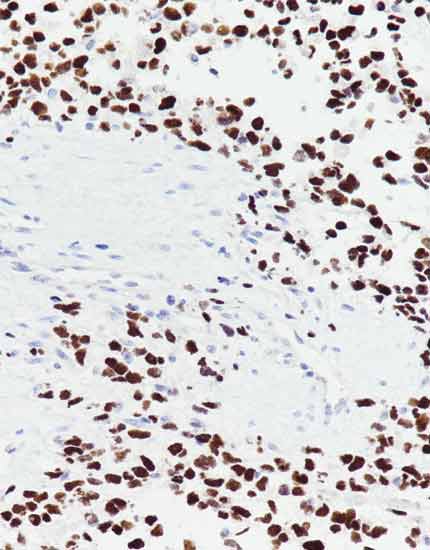
产品名称:NKX2.2
产品编号:RMA-0747
阳性部位:细胞核
图片描述:
神经内分泌癌,NKX2.2染色,细胞核阳性
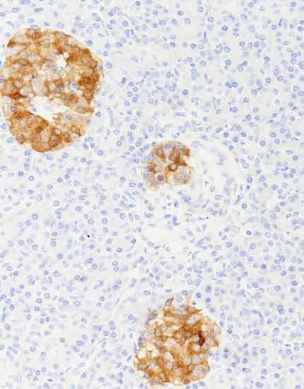
产品名称:NSE
产品编号:MAB-0791
阳性部位:细胞质
图片描述:
胰腺,NSE染色,细胞质阳性
产品名称:MyoD1
产品编号:MAB-0822
阳性部位:细胞核
图片描述:
横纹肌肉瘤,MyoD1染色,细胞核阳性。
共
393
条
33
页
首页
上一页
12
13
14
15
16
下一页
末页