欢迎您来到迈新免疫组化世界!
电话:800-8581156
info@maxim.com.cn
在线客服
English
高级搜索
导航栏
网站首页
产品中心
单克隆抗体和多克隆抗体
CFDA免疫组化检测试剂盒
免疫组化检测系统和试剂盒
免疫组化配套试剂
全自动免疫组化染色仪
分子病理学产品
服务支持
免疫组化与病理
免疫组化技术交流
公共实验室
新开展IHC推荐清单及介绍
咨询反馈
新闻资讯
迈新动态
行业资讯
热点聚焦
会议通告
资料荟萃
产品目录
迈新园地
指南手册
抗体图库
人力资源
招聘信息
人才储备
应聘指南
福利薪酬
走进迈新
迈新简介
迈新历程
迈新荣誉
企业文化
迈新•病理基金
联系我们
产品中心
单克隆抗体和多克隆抗体
CFDA免疫组化检测试剂盒
免疫组化检测系统和试剂盒
免疫组化配套试剂
全自动免疫组化染色仪
分子病理学产品
产品搜索
高级搜索
抗体
A
A
B
C
D
E
F
G
H
I
J
K
L
M
N
O
P
Q
R
S
T
U
V
W
X
Y
Z
当前位置:
首页
>
产品中心
> 单克隆抗体和多克隆抗体
产品名称:HE4
产品编号:MAB-0826
阳性部位:胞质
图片描述:
卵巢浆液性癌,HE4染色,胞质阳性
产品名称:H3.3 G34W
产品编号:RMA-0810
阳性部位:胞核
图片描述:
骨巨细胞瘤,H3.3 G34W染色,胞核阳性
产品名称:H3 K36M
产品编号:RMA-0841
阳性部位:胞核
图片描述:
软骨母细胞瘤,H3 K36M染色,胞核阳性
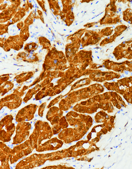
产品名称:HBsAg
产品编号:MAB-0898
阳性部位:胞质
图片描述:
癌旁肝组织,HBsAg染色,胞质阳性
产品名称:HBsAg
产品编号:MAB-0847
阳性部位:胞质
图片描述:
癌旁肝组织,HBsAg染色,胞质阳性
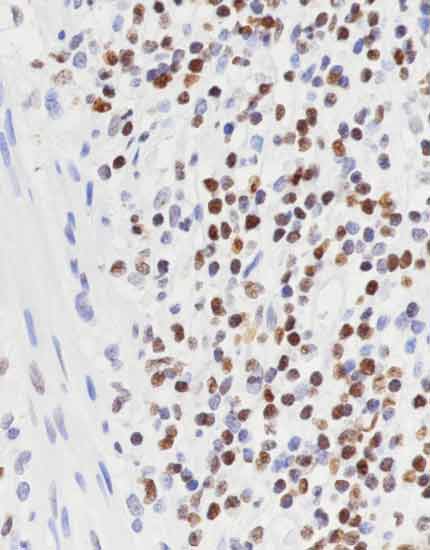
产品名称:H3 K27me3
产品编号:RMA-0843
阳性部位:细胞核
图片描述:
阑尾,H3 K27me3染色,细胞核阳性
产品名称:H3 K27M
产品编号:RMA-0840
阳性部位:胞核
图片描述:
脑胶质瘤,H3 K27M染色,胞核阳性
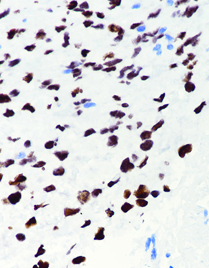
产品名称:Granzyme B (GrB)
产品编号:RMA-0814
阳性部位:胞质
图片描述:
NK/T细胞淋巴瘤,Granzyme B染色,胞质阳性
产品名称:GS
产品编号:MAB-0752
阳性部位:胞质
图片描述:
胰腺实性假乳头状瘤,GS染色,胞质阳性
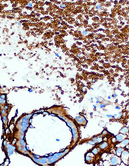
产品名称:GLUT-1
产品编号:MAB-0813
阳性部位:胞膜
图片描述:
胎盘,GLUT-1 染色,胞膜阳性
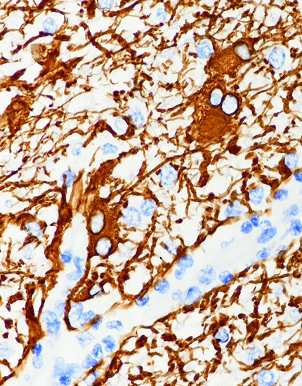
产品名称:GFAP
产品编号:MAB-0769
阳性部位:胞质
图片描述:
脑胶质瘤,GFAP染色,胞质阳性
产品名称:Galectin-3
产品编号:MAB-0835
阳性部位:胞质/胞核
图片描述:
甲状腺乳头状癌,Galectin-3染色,胞质/胞核阳性
共
393
条
33
页
首页
上一页
14
15
16
17
18
下一页
末页