欢迎您来到迈新免疫组化世界!
电话:800-8581156
info@maxim.com.cn
在线客服
English
高级搜索
导航栏
网站首页
产品中心
单克隆抗体和多克隆抗体
CFDA免疫组化检测试剂盒
免疫组化检测系统和试剂盒
免疫组化配套试剂
全自动免疫组化染色仪
分子病理学产品
服务支持
免疫组化与病理
免疫组化技术交流
公共实验室
新开展IHC推荐清单及介绍
咨询反馈
新闻资讯
迈新动态
行业资讯
热点聚焦
会议通告
资料荟萃
产品目录
迈新园地
指南手册
抗体图库
人力资源
招聘信息
人才储备
应聘指南
福利薪酬
走进迈新
迈新简介
迈新历程
迈新荣誉
企业文化
迈新•病理基金
联系我们
产品中心
单克隆抗体和多克隆抗体
CFDA免疫组化检测试剂盒
免疫组化检测系统和试剂盒
免疫组化配套试剂
全自动免疫组化染色仪
分子病理学产品
产品搜索
高级搜索
抗体
A
A
B
C
D
E
F
G
H
I
J
K
L
M
N
O
P
Q
R
S
T
U
V
W
X
Y
Z
当前位置:
首页
>
产品中心
> 单克隆抗体和多克隆抗体
产品名称:ATRX
产品编号:MAB-0855
阳性部位:胞核
图片描述:
脑胶质瘤,ATRX染色,胞核阳性。
产品名称:Actin(Muscle Specific)
产品编号:MAB-0871
阳性部位:胞质
图片描述:
骨骼肌,Actin染色,胞质阳性。
产品名称:PSAP
产品编号:MAB-0147
阳性部位:细胞质
图片描述:
前列腺癌,PSAP染色,细胞质阳性。
产品名称:SDHB
产品编号:MAB-0888
阳性部位:细胞质
图片描述:
肾脏,SDHB染色,细胞质阳性。
产品名称:TSH
产品编号:MAB-0796
阳性部位:细胞质
图片描述:
垂体瘤,TSH染色,细胞质阳性。
产品名称:TPO
产品编号:MAB-0800
阳性部位:细胞质
图片描述:
甲状腺,TPO染色,细胞质阳性。
产品名称:Topo II α
产品编号:MAB-1099
阳性部位:细胞核
图片描述:
乳腺癌,Topo II α染色,细胞核阳性
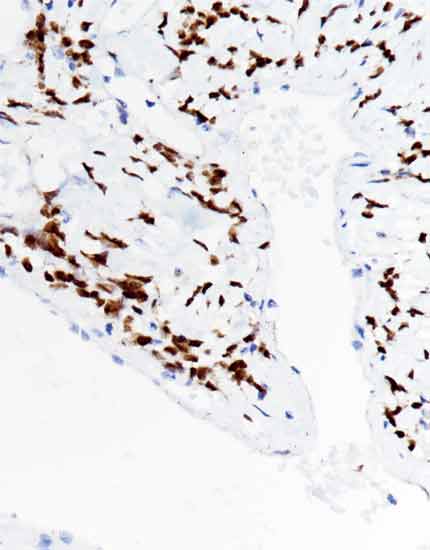
产品名称:TIA-1
产品编号:MAB-0798
阳性部位:细胞质
图片描述:
阑尾,TIA-1染色,细胞质阳性
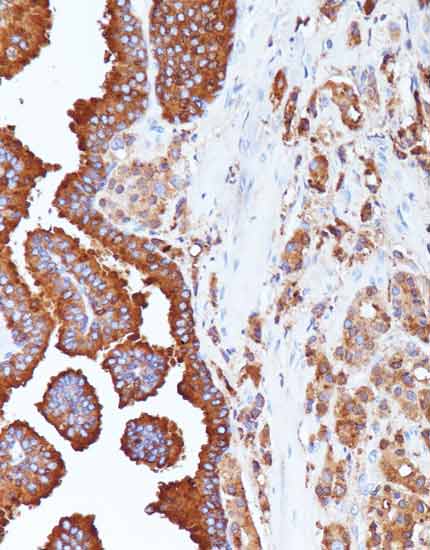
产品名称:Thyroglobulin(THY)
产品编号:MAB-0797
阳性部位:细胞质
图片描述:
甲状腺乳头状癌,THY染色,细胞质阳性。
产品名称:STAT6
产品编号:RMA-0845
阳性部位:细胞核/细胞质
图片描述:
孤立性纤维瘤,STAT6染色,细胞核/细胞质阳性。
产品名称:SATB2
产品编号:RMA-0750
阳性部位:细胞核
图片描述:
结肠腺癌,SATB2染色,细胞核阳性。
产品名称:ROS1
产品编号:RMA-0767
阳性部位:细胞质
图片描述:
肺癌,ROS1染色,细胞质阳性
共
393
条
33
页
首页
上一页
11
12
13
14
15
下一页
末页