欢迎您来到迈新免疫组化世界!
电话:800-8581156
info@maxim.com.cn
在线客服
English
高级搜索
导航栏
网站首页
产品中心
单克隆抗体和多克隆抗体
CFDA免疫组化检测试剂盒
免疫组化检测系统和试剂盒
免疫组化配套试剂
全自动免疫组化染色仪
分子病理学产品
服务支持
免疫组化与病理
免疫组化技术交流
公共实验室
新开展IHC推荐清单及介绍
咨询反馈
新闻资讯
迈新动态
行业资讯
热点聚焦
会议通告
资料荟萃
产品目录
迈新园地
指南手册
抗体图库
人力资源
招聘信息
人才储备
应聘指南
福利薪酬
走进迈新
迈新简介
迈新历程
迈新荣誉
企业文化
迈新•病理基金
联系我们
产品中心
单克隆抗体和多克隆抗体
CFDA免疫组化检测试剂盒
免疫组化检测系统和试剂盒
免疫组化配套试剂
全自动免疫组化染色仪
分子病理学产品
产品搜索
高级搜索
抗体
A
A
B
C
D
E
F
G
H
I
J
K
L
M
N
O
P
Q
R
S
T
U
V
W
X
Y
Z
当前位置:
首页
>
产品中心
> 单克隆抗体和多克隆抗体
产品名称:PV
产品编号:RAB-0144
阳性部位:细胞核/核周
图片描述:
尖锐湿疣,PV染色,细胞核阳性。
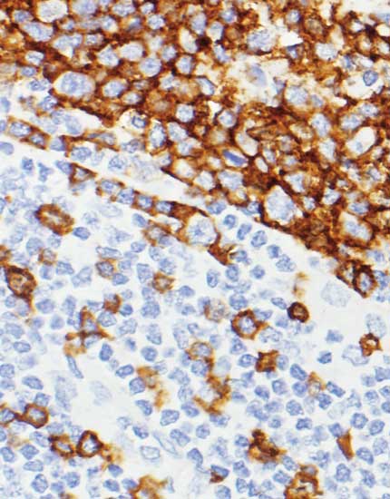
产品名称:CD43
产品编号:MAB-0032
阳性部位:胞膜
图片描述:
扁桃体,CD43染色,胞膜阳性
产品名称:p57
Kip2
产品编号:MAB-0794
阳性部位:细胞核
图片描述:
胎盘,p57
Kip2
染色,细胞核阳性
产品名称:p120 Catenin
产品编号:MAB-0621
阳性部位:细胞质/细胞膜
图片描述:
乳腺浸润性小叶癌,p120 Catentin染色,细胞质阳性
产品名称:CD35
产品编号:MAB-0896
阳性部位:胞膜
图片描述:
扁桃体,CD35染色,胞膜阳性
产品名称:CD34
产品编号:Kit-0004
阳性部位:胞膜和胞质
图片描述:
胃肠道间质瘤,CD34染色,细胞膜/细胞质阳性
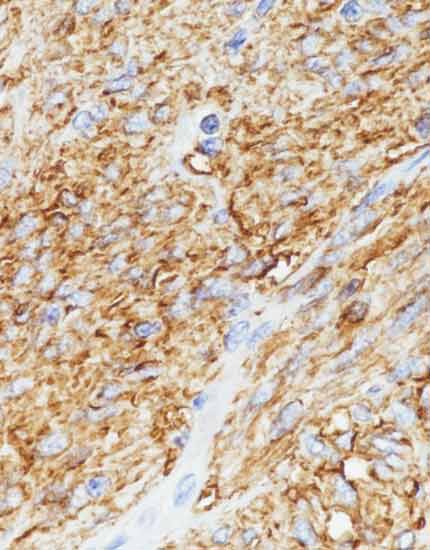
产品名称:CD31
产品编号:MAB-0720
阳性部位:胞膜
图片描述:
血管瘤,CD31染色,胞膜阳性
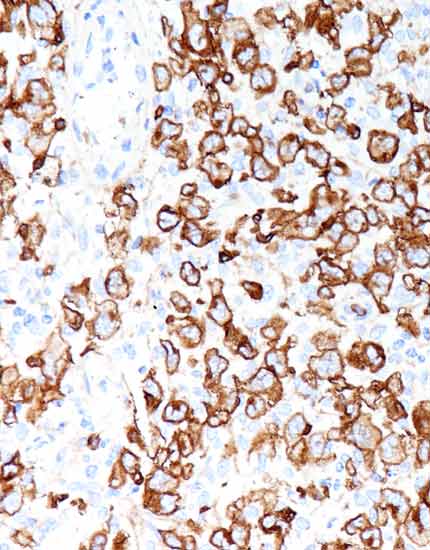
产品名称:CD30
产品编号:MAB-0023
阳性部位:胞膜/胞质
图片描述:
间变性大淋巴瘤,CD30染色,胞质/胞膜阳性
产品名称:CD23
产品编号:RMA-0504
阳性部位:细胞膜
图片描述:
扁桃体,CD23染色,细胞膜阳性。
产品名称:p21
WAF1
产品编号:MAB-0235
阳性部位:细胞核
图片描述:
直肠类癌,p21
WAF1
染色,细胞核阳性。
产品名称:CD20
产品编号:Kit-0001
阳性部位:细胞膜
图片描述:
弥漫大B细胞淋巴瘤,CD20染色,细胞膜阳性
产品名称:CD8
产品编号:MAB-1031
阳性部位:细胞膜
图片描述:
T细胞淋巴瘤,CD8染色,细胞膜阳性。
共
393
条
33
页
首页
上一页
27
28
29
30
31
下一页
末页